Página Inicial
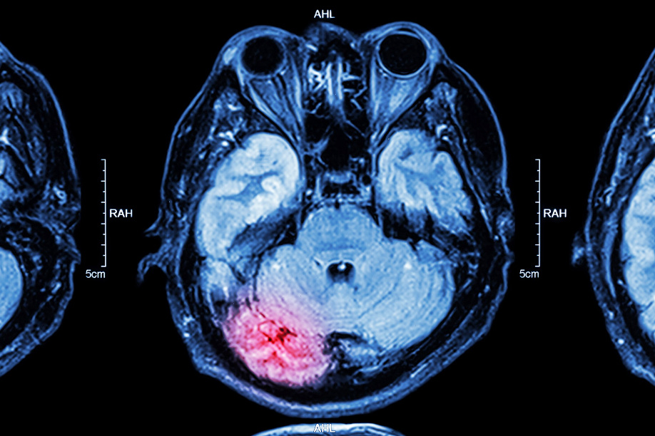
Saúde pública: Curitiba pode ganhar campanha para prevenir AVCs